高级检索

发酵枸杞多糖通过调节肠道微生态缓解葡聚糖硫酸钠诱导的溃疡性结肠炎

Amelioration of dextran sulfate sodium-induced ulcerative colitis by fermented Lycium barbarum polysaccharides through modulation of intestinal microecology

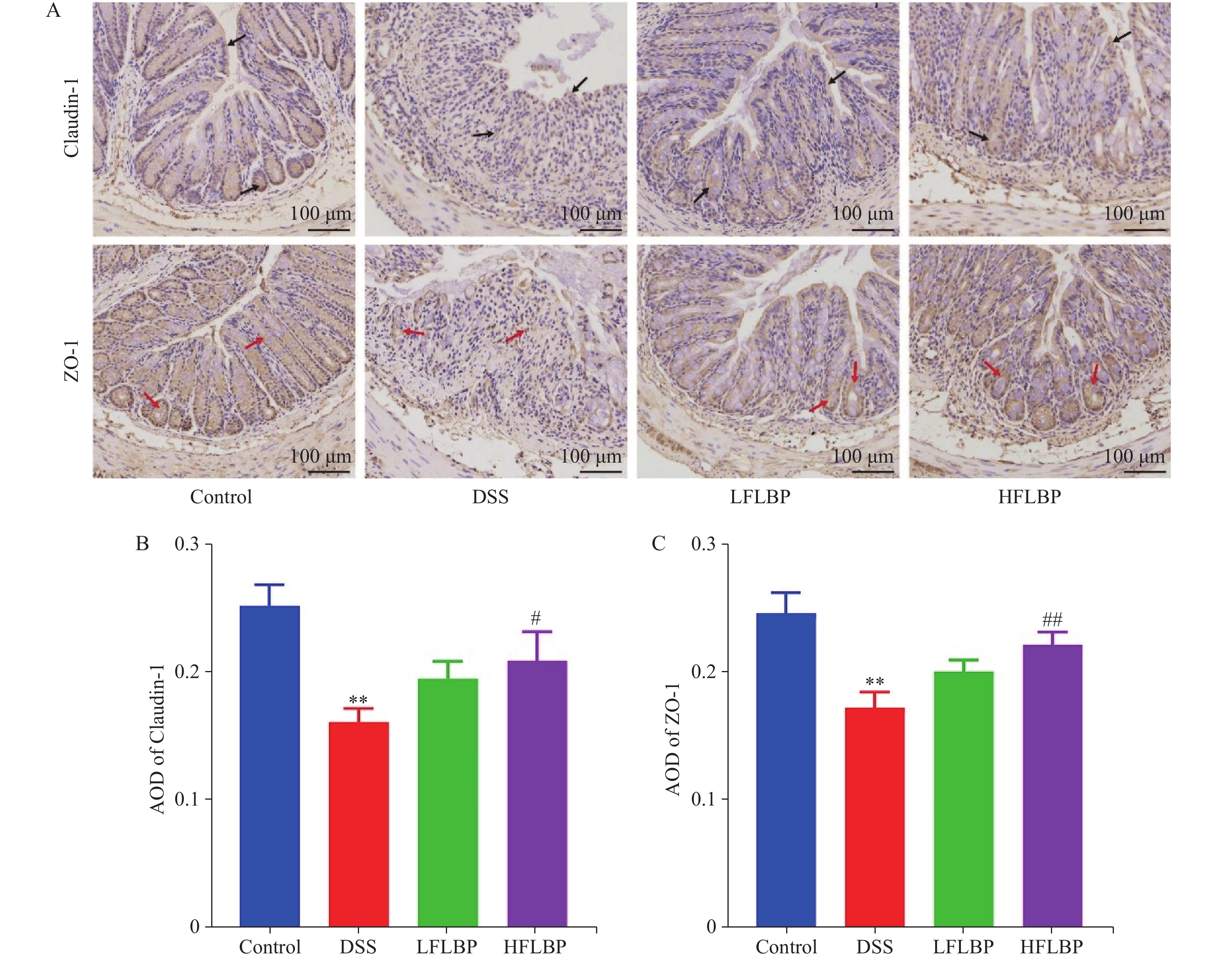
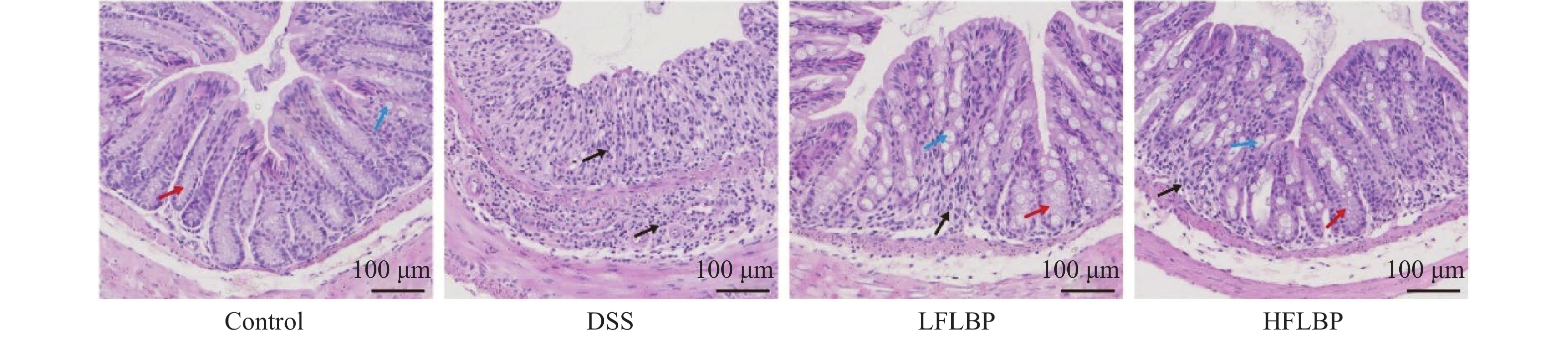
  • 摘要: 为探究多糖益生元调节肠道微生态作用机制,采用ELISA法、组织病理学分析、免疫组化分析、16S rRNA高通量测序、气相色谱-质谱联用等方法,研究发酵多糖对葡聚糖硫酸钠(DSS)诱导结肠炎模型小鼠肠道菌群和短链脂肪酸(SCFAs)变化的影响及其与肠道炎症水平、屏障蛋白表达的关系。结果发现,发酵枸杞多糖(FLBP)可显著降低小鼠肠道炎症水平,改善结肠组织结构,上调紧密连接蛋白Claudin-1和ZO-1表达量,同时显著增加肠道SCFAs含量。肠道菌群分析结果表明,FLBP可富集小鼠肠道杜氏芽孢杆菌(Dubosiella)和阿克曼氏菌属(Akkermansia),降低Turicibacter菌属、肠杆菌属(Faecalibaculum)、埃希氏菌-志贺菌属(Escherichia-Shigella)丰度。研究结果表明,FLBP激活重塑的杜氏芽孢杆菌在改善结肠炎中占主导作用,显著提升SCFAs含量,增强肠道屏障,降低肠道炎症。研究旨在为改善结肠炎提供更安全有益的选择,并为开发FLBP功能性食品提供理论依据。

     

    Abstract: To explore the mechanism of the intestinal microecology regulation by polysaccharide prebiotics, ELISA, histopathologic analysis, immunohistochemical analysis, 16S rRNA high-throughput sequencing, and gas chromatography-mass spectrometry were applied to investigate the effects of fermented polysaccharides on changes in the intestinal microbiota and short-chain fatty acids (SCFAs) in mice with dextran sulfate sodium (DSS)-induced colitis model and their relationship with the level of intestinal inflammation and barrier protein expression. It was found that fermented Lycium barbarum polysaccharides (FLBP) significantly reduced intestinal inflammation level, improved colonic tissue structure, up-regulated the expression of tight junction proteins Claudin-1 and ZO-1, and significantly increased the content of intestinal SCFAs in mice. Gut bacteria analyses showed that FLBP enriched intestinal Dubosiella and Akkermansia in mice and decreased the abundance of Turicibacter, Faecalibaculum, and Escherichia-Shigella. Results showed that remodeled Dubosiella activated by FLBP played a dominant role in ameliorating colitis by significantly increasing SCFAs content, improving intestinal barrier and reducing intestinal inflammation. The study aimed to provide a safer and better option for the amelioration of colitis and to provide a theoretical basis for the development of functional foods with FLBP.

     

/

返回文章
返回