高级检索

基于肿瘤抗原PBK的融合蛋白疫苗的设计制备及抗肿瘤活性

Design, preparation, and antitumor activity of fusion protein vaccine based on tumor antigen PBK

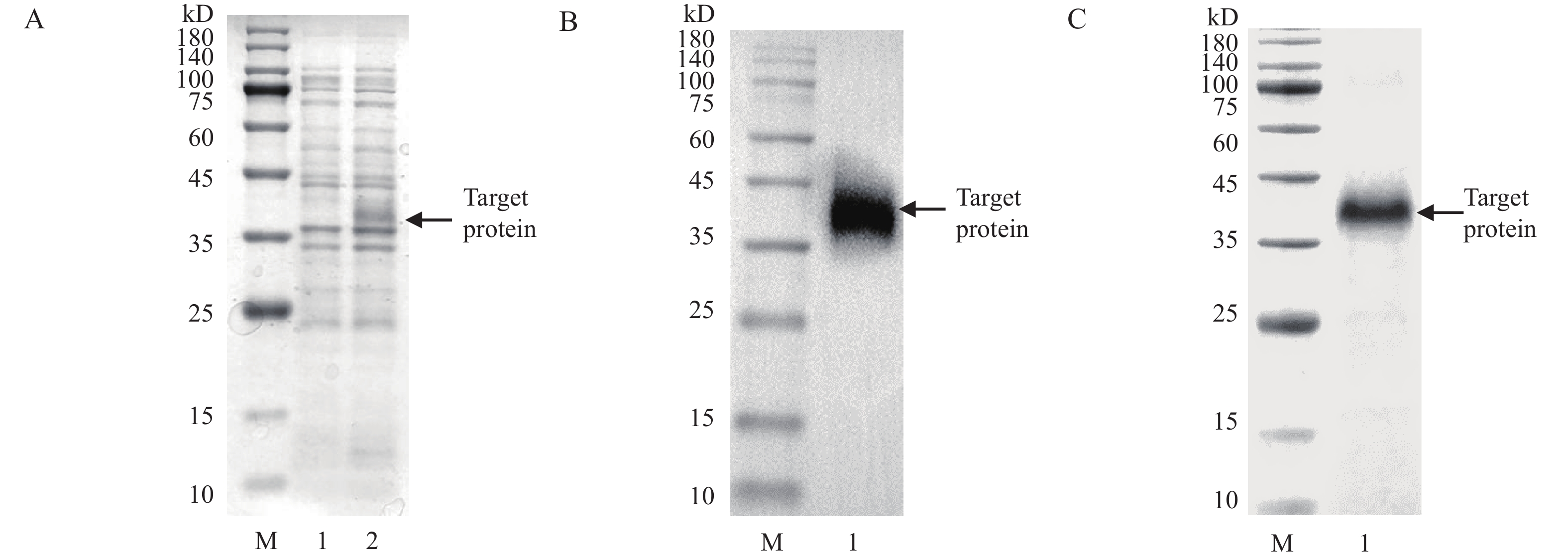
  • 摘要: PBK是一种癌症/睾丸抗原,其在人类的多种正常组织中不表达,而在癌变后的组织细胞中异常过表达,促进癌症的发生、转移甚至耐药性,为肿瘤免疫治疗提供了新靶点。本研究将硝基化T细胞表位与PBK蛋白融合表达,构建了以PBK为靶点的蛋白疫苗PBK-Nitrath;采用IFN-γ ELISpot法评估免疫小鼠脾脏中PBK抗原特异性T细胞的激活水平,并在体外进行细胞毒性T细胞杀伤效应检测评估其对H22肝癌细胞的杀伤能力;在此基础上采用H22肝癌皮下移植瘤模型对其抗肿瘤活性进行评价,并通过流式细胞术对外周血和脾脏T淋巴细胞的分化情况与肿瘤的免疫浸润情况进行分析。结果显示,PBK-Nitrath能够显著地诱导PBK抗原特异性T细胞的激活,增强细胞毒性T淋巴细胞的杀伤能力,并可显著抑制小鼠肝癌肿瘤生长,提高外周血与脾脏中CD8CD107a T细胞的比例,同时可促进肿瘤淋巴细胞的浸润。研究结果提示PBK-Nitrath是有潜力的肿瘤疫苗候选分子。

     

    Abstract: PBK is a cancer/testis antigen that exhibits absent expression in various normal human tissues, but undergoes aberrant overexpression upon cellular transformation, thereby promoting the initiation, metastasis and even drug resistance of cancer. Consequently, it represents a novel target for tumor immunotherapy. In this study, PBK-Nitrath, a protein vaccine specifically designed to target PBK by fusing nitrated T epitope with the PBK protein was developed, using the IFN-γ ELISpot method to evaluate the activation level of PBK antigen-specific T cells in the spleen of immunized mice, and conducting in vitro cytotoxicity T cell killing efficacy test to evaluate the killing ability against H22 hepatic carcinoma cells; the anti-tumor activity was evaluated using a H22 hepatic carcinoma subcutaneous transplantation tumor model, and the differentiation of peripheral blood and spleen T lymphocytes and tumor immune infiltration were analyzed by flow cytometry. Results showed that PBK-Nitrath could efficiently induce the activation of antigen-specific T cells against PBK while enhancing cytotoxic T lymphocyte-mediated killing capacity, significantly impede hepatic carcinoma progression in mice and increase the ratio of CD8+CD107a+ T cells within peripheral blood and spleen, and facilitate tumor lymphocyte infiltration. Our findings reveal the potential utility of PBK-Nitrath as an effective candidate for tumor vaccine.

     

/

返回文章
返回