高级检索

实时荧光定量PCR法检测左旋多巴中大肠埃希菌宿主细胞DNA残留量

Detection of residual DNA in host cells of Escherichia coli in levodopa by Real-time PCR

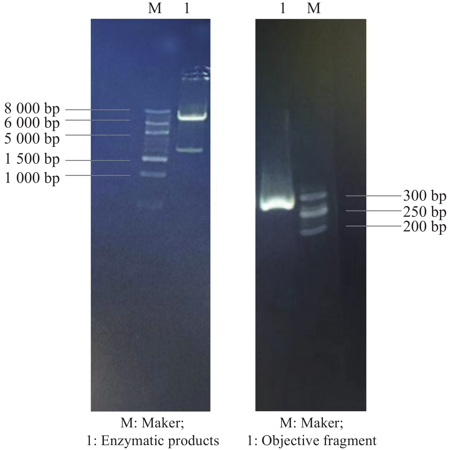
  • 摘要: 采用实时荧光定量 PCR 技术,建立特异性强、灵敏度高的左旋多巴中大肠埃希菌(Escherichia coli)宿主细胞DNA残留量的检测方法,并进行验证和初步应用。以大肠埃希菌中的相对保守的 E. coli MB6菌株16S核糖体RNA基因序列作为目的基因设计多对引物,通过 PCR 进行特异性扩增获得目的片段。将目的片段重组至 pLENTI-BSD-CON 载体构建重组质粒命名为 pLENTI-BSD-CON-E.coli-16S,以其为标准品,结合磁珠法提取纯化 DNA,建立定量 PCR 检测方法(SYBR-Green 法)。对建立的方法进行线性与范围、准确度、精密度、专属性、定量限及耐用性的方法学验证,应用于左旋多巴原料药的检测,并与试剂盒检测方法(Taqman 探针法)进行比较建立的定量PCR 检测方法(SYBR-Green 法)正向引物序列:5'- TTCGATGCAACGCGAAGAAC-3' ;反向引物序列:5'-GTGTAGCCCTGGTCGTAAGG-3'。以重组质粒作为标准品,DNA质量浓度在 10 fg/μL~3 ng/μL 范围内线性关系良好(R2≥0.98),定量限为 10 fg/μL,加标溶液回收率在 59.7%~80.7% 范围内,RSD 均小于 30%。应用该法对 3 批左旋多巴原料药进行检测,DNA 残留量均在限度以下。结果表明,建立的检测方法可用于定量检测左旋多巴等由大肠埃希菌作为宿主细胞生产的生物制品的 DNA 残留量,并且其灵敏度优于试剂盒检测方法。

     

    Abstract: Using Real-time PCR technology, a highly specific and sensitive method for detecting DNA residues of Escherichia coli host cells in levodopa was established, validated, and preliminarily applied. Escherichia coli strain MB6 16S ribosomal RNA gene was selected as the target gene to design multiple pairs of primers and the target fragment by specific amplification of PCR was obtained. The target fragment was cloned into the pLENTI-BSD-CON vector and the recombinant plasmid was constructed and named pLENTI-BSD-CON-E.coli-16S. A quantitative PCR detection method (SYBR Green method) with magnetic bead extraction and purification methods was established with the reference standard of the recombinant plasmid. Furthermore, the established method was validated, including linear and range, accuracy, precision, specificity, and quantification limit, and applied to the detection of levodopa raw materials. Meanwhile, the detection method was compared with the Taqman probe method by the commercial kit. The primer sequences of the quantitative PCR detection method (SYBR Green method) were TTCGATGCAACGCGAAGAAC (forward) and GTGTAGCCCTGGTCGTAAGG (reverse). The standard curve of DNA was in the range of 10 fg/μL to 3 ng/μL with good linearity (R2≥ 0.98). The quantitative limit was 10 fg/μL. In addition, the detection recovery rate was in the range of 59.7% to 80.7%, with RSD at less than 15%. Nine batches of levodopa were detected by this method, and the amount of E.coli DNA residue was below the limit. The developed qPCR method can be used for quantitative detection of residual DNA in biological products produced by E.coli as host cells, such as levodopa . The results indicate that the sensitivity of the detection method for recombinant plasmid construction standards is superior than the reagent kit detection method.

     

/

返回文章
返回